허리디스크병원 ‘수술’ 만이 정답은 아닙니다 !

하루 종일 앉아서 일하다 보면 허리가 저릿하고, 어느 순간부터는 구부리기조차 힘들어지셨나요?
수술은 두렵고 회복에 걸리는 시간도 부담스러우시죠.

그래서 요즘 많은 분들이 동탄 지역에서 허리디스크 비수술치료를 찾고 계세요!
수술 없이 통증을 완화하고 다시 일상으로 돌아갈 수 있는 방법이 있다면, 그 가능성을 알고 싶지 않으신가요?

오늘은 최신 비수술 치료법과 동탄 지역의 실질적인 선택지를 함께 살펴보며, 당신의 허리에 맞는 현실적인 해답을 찾아드릴게요 🙂

동탄시티병원, 허리통증 환자를 위한 신뢰의 척추 전문병원

동탄시티병원, 허리통증 환자를 위한 신뢰의 척추 전문병원

안녕하세요. 동탄시티병원이에요!

오늘은 반복되는 허리 통증 때문에 힘드신데도, 수술이 두려워서 병원 방문을 망설이고 계신 분들을 위해 꼭 전해드리고 싶은 이야기를 준비했어요.

📌 동탄시티병원은?
강동경희대학교병원 교육협력 기관이자 보건복지부가 인증한 의료기관입니다.
많은 분들이 이렇게 말씀하시며 내원하십니다.
“허리가 너무 아픈데 수술을 해야 하나요? 다른 방법은 없나요?”

사실, 허리디스크의 기본 치료는 ‘비수술적 치료‘예요.

근데 이걸 모르시고 수술만 떠올리며 불안해하시는 분들이 정말 많으시더라구요.

EBS ‘명의’에 5회 출연하신 김기택 명예원장님과 신재흥 병원장님이 척추 질환 환자분들을 진료하면서, 비수술적 치료 연구는 물론 필요한 경우 수술까지 진행하고 계세요.

척추 관련 통증으로 고통받는 분들이 건강을 되찾으실 수 있도록 최선을 다하고 있답니다 🙂


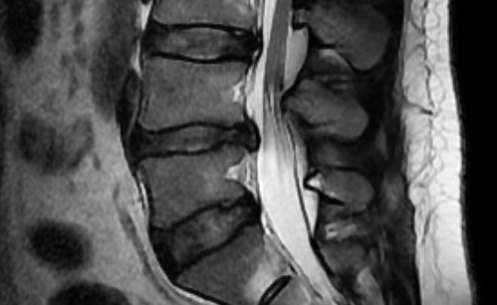
허리디스크(추간판탈출증)의 원인과 주요 신호 확인법

허리디스크(추간판탈출증)의 원인과 주요 신호 확인법

허리디스크는 의학용어로 ‘추간판탈출증’이라고 하는데요, 척추뼈(추체) 사이의 추간판이 제자리에서 벗어나 신경을 자극해서 통증이 발생하는 질환이에요.

추간판은 물렁한 연골 조직으로, 체중을 지탱하면서 움직임을 부드럽게 해주는 역할을 하거든요.

근데 평소 잘못된 자세나 외상으로 손상되면 추간판이 돌출되어 신경을 압박하게 돼요.

그 결과 허리는 물론이고 다리로 이어지는 다양한 통증이 나타날 수 있답니다.

어떤 증상이 나타나면 의심해봐야 하나요?

주의가 필요한 허리디스크의 주요 증상

  • 허리 통증
  • 다리 저림
  • 엉덩이~다리 뒤쪽 통증
  • 다리에 힘이 빠짐

허리디스크 증상은 개인마다 정말 다르게 나타나서, 정확한 진단이 무엇보다 중요해요.

증상이 장기간 지속되거나 위 항목 중 2개 이상 해당되신다면 반드시 검사를 받아보셔야 해요! ✅


허리디스크는 반드시 수술해야 할까?

허리디스크는 반드시 수술해야 할까

많은 분들이 “허리디스크 = 수술”로 생각하시는데요, 사실 대부분 ‘비수술적 치료’로 충분히 회복이 가능하답니다.

디스크는 분명 치료가 필요한 질환이지만, 모든 경우에 수술이 필요한 건 아니거든요.

환자분의 나이, 증상 정도, 근력 상태 등을 종합적으로 고려해서 치료 방향을 결정하게 돼요.

그럼 비수술치료부터 시작하는 게 맞나요?

저희 병원에서는 환자분 개개인의 상태를 꼼꼼히 분석해서 가장 부담이 적으면서도 효과적인 비수술치료부터 우선 적용하고 있어요.

무조건 수술부터 권하는 게 아니라, 환자분께 가장 적합한 방법을 찾아드리는 거죠 💪


환자 부담 줄이는 대표적인 비수술치료 방법

1️⃣ 신경차단술(Nerve Block)

비수술치료는 환자분의 상태에 따라 선택적으로 적용돼요. 대표적인 예시를 소개해드릴게요!

1️⃣ 신경차단술(Nerve Block)

실시간 영상장치를 통해 통증의 원인이 되는 신경 뿌리를 정확하게 찾아서 약물을 주입해 염증 및 부종을 가라앉히는 치료예요.

허리뿐 아니라 목 부위에도 적용할 수 있고, 시술 시간이 짧고 회복 속도가 빠른 편이랍니다.

2️⃣ 고주파열치료(RF Nucleoplasty)

2️⃣ 고주파열치료(RF Nucleoplasty)

극도로 얇은 주사 바늘을 디스크 내부에 삽입하고 저온 고주파를 이용해 돌출된 디스크를 복원하는 방법이에요.

콜라겐 섬유를 수축시켜서 디스크의 볼륨을 줄이고, 신경 압박을 완화해서 통증 개선 효과를 기대할 수 있어요.

3️⃣ 신경성형술(Neuroplasty)

3️⃣ 신경성형술(Neuroplasty)

MRI 검사상 수술 단계는 아닌데 통증이 심하신 경우 시행할 수 있는 시술이에요.

1mm 직경의 특수관을 꼬리뼈 쪽으로 삽입해서 염증조직과 유착된 신경 부위를 정밀하게 박리하는 거죠.

즉시적인 통증 완화는 물론 일상 복귀가 빠르다는 특징이 있답니다 🎉


필요 시 고려되는 정밀 수술적 치료법

필요 시 고려되는 정밀 수술적 치료법

비수술적 치료에도 통증이 계속되거나 일상생활에 어려움이 크실 때는 의료진과 충분히 상담한 후 수술적 치료를 진행하기도 해요.

수술이 필요하면 어떤 방법이 있나요?

🔹 단일공고주파치료

작은 내시경을 이용해서 절개 없이 병변 부위를 직접 관찰하면서 척추 신경 압박 부위를 넓혀주는 치료법이에요.

🔹 단일공내시경디스크수술

약 7mm 이내의 미세한 절개 후 내시경과 특수 기구를 삽입해서 파열된 디스크를 제거하는 방법이에요.

절개 부위가 작고 회복 속도가 빠르다는 장점이 있답니다.

두 가지 방법 모두 환자분의 상태와 연령, 통증 정도에 따라 적용 여부가 달라지니까 전문 상담을 꼭 받아보시길 권해드려요!


겨울철 증가하는 허리디스크 환자와 맞춤형 치료 중요성

겨울철 증가하는 허리디스크 환자와 맞춤형 치료 중요성

최근 날씨가 쌀쌀해지면서 저희 지역에서도 허리디스크로 병원을 찾으시는 분들이 꾸준히 늘고 있어요.

특히 70대 이상 고령 환자분들이 많이 증가하고 있는데요, 체력과 회복력을 고려해서 비수술치료를 우선 적용하는 경우가 많답니다.

나에게 맞는 치료법을 찾는 게 중요한 이유는?

치료 방법은 한 가지에 국한되기보다 각 환자분께 딱 맞는 방식으로 조합하는 게 정말 중요해요.

‘환자 중심의 맞춤형 요법’을 선택하는 것이 회복률 향상의 핵심이거든요 ✅


집에서도 도울 수 있는 간단한 허리 강화 운동

집에서도 도울 수 있는 간단한 허리 강화 운동

치료와 함께 꾸준한 생활관리도 정말 중요하답니다!

허리를 지탱하는 근육(코어 근육)을 강화하면 재발 방지에 큰 도움이 되거든요.

아래 동탄시티병원에서 제공하는 ‘허리 근력 강화 운동 영상’을 참고해서 집에서도 간단히 따라 해보세요.

꾸준히 실천하신다면 통증 완화와 자세 개선 효과를 모두 기대하실 수 있어요 💪


👉 동탄시티병원은:

  • 강동경희대학교병원 교육협력 기관
  • 보건복지부 인증 의료기관
  • EBS 명의 출연 의료진 상주

오늘도 ‘수술 없이 건강한 허리’를 위해 최선의 솔루션으로 함께하겠습니다 🙂

자주하는 질문

허리디스크는 꼭 수술해야 하나요?
대부분의 허리디스크 환자는 수술 없이 회복이 가능합니다. 동탄시티병원에서는 환자의 연령, 통증 정도, 근력 상태 등을 종합적으로 평가해 부담이 적은 비수술 치료부터 우선 적용합니다. 단, 통증이 심하거나 비수술치료에도 효과가 없을 경우에는 의료진과 충분히 상의한 뒤 단일공고주파치료 또는 내시경디스크수술 등 정밀 수술법을 고려할 수 있습니다.
동탄시티병원에서 시행하는 대표적인 비수술 치료에는 어떤 것이 있나요?
환자 상태에 따라 가장 적합한 비수술 치료를 선택합니다. 대표적으로는 신경차단술, 고주파열치료, 신경성형술이 있으며, 모두 절개가 필요 없고 회복 속도가 빠른 장점이 있습니다. 특히 통증 원인을 정확히 찾아 염증을 줄이고 신경 압박을 완화해 일상 복귀가 빠릅니다.
허리디스크를 예방하거나 재발을 막기 위해 집에서 할 수 있는 방법은 있나요?
치료와 함께 꾸준한 코어 근육 강화 운동이 매우 중요합니다. 올바른 자세 유지와 근력 향상을 통해 허리 부담을 줄이면 통증 완화는 물론 재발 방지에도 도움이 됩니다. 동탄시티병원에서 제공하는 ‘허리 근력 강화 운동 영상’을 참고해 하루 10분 정도 규칙적으로 실천해 보세요. 꾸준함이 허리 건강의 핵심입니다.
위로 스크롤