무릎연골판손상 오산 정형외과 치료방법과 빠른 회복 비결

무릎 통증이 지속되어 큰 부상은 아닐까 우려하시거나, 정확한 진단과 치료 방향 설정에 어려움을 겪으신 분들이 많습니다. 특히 오산 지역에서 신뢰할 수 있는 정형외과를 찾고 계신다면, 무릎 상태에 적합한 치료법을 파악하는 것이 중요합니다.

본 글에서는 정형외과 무릎연골판손상 치료방법에 대해 상세히 안내해 드리겠습니다. 수술이 반드시 필요한 경우와 비수술로 회복 가능한 최신 치료법을 구체적으로 다룰 예정입니다.

아래 내용을 통해 무릎연골판손상에 대한 정확한 정보를 얻으실 수 있으며, 치료 방향 수립에 실질적인 도움이 될 것입니다. 지금부터 차례대로 살펴보겠습니다.

갑작스러운 무릎 통증, 가볍게 넘기지 마시기 바랍니다

갑작스러운 무릎 통증, 가볍게 넘기지 마세요

정형외과, 동탄시티병원입니다.

어느 날 느닷없이 찾아온 무릎 통증을 많은 분들이 “나이 들어서 그런가?” 하고 대수롭지 않게 생각하시지만, 이는 단순한 노화 현상만은 아닐 수 있습니다. 이번 글에서는 무릎연골판 손상 시 나타나는 주요 증상과 원인, 그리고 비수술 및 수술적 치료 방법까지 자세히 알아보겠습니다.

‘무릎 연골 손상’에 대한 이해는 단순 통증 해소를 넘어, 장기적인 관절 건강을 지키는 출발점이 될 수 있습니다.

무릎의 구조와 연골판의 역할 이해하기

무릎의 구조와 연골판의 역할 이해하기

허벅지뼈(대퇴골)와 정강이뼈(경골) 사이를 잇는 부분이 바로 ‘무릎 관절’입니다. 다리를 굽히거나 펼 때마다 사용하는 이 부위에는 복잡한 관절 구조가 자리하고 있으며, 그 안에는 ‘연골’이 있습니다.

연골은 관절을 보호하고 전신의 하중을 안정적으로 분산시키는 조직으로, 초승달 형태의 섬유성 물질로 구성되어 있습니다. 충격 흡수 역할 외에도 마찰을 줄이고 관절의 움직임을 부드럽게 유지해주는 중요한 기능을 갖고 있습니다.

다만 연골은 혈관이 거의 없어 손상 시 회복 속도가 매우 느린 조직입니다. 반복적인 운동이나 잘못된 생활습관으로 지속적인 부담이 가해질 경우, 연골의 미세손상 또는 파열로 이어질 수 있습니다. 그렇기에 무릎의 통증은 결코 가볍게 넘겨서는 안 되는 ‘경고 신호’로 여겨야 합니다.

무릎연골판 손상의 원인과 구조적 특징

무릎연골판 손상의 원인과 구조적 특징

무릎연골판은 무릎 관절 내 뼈와 뼈 사이에 위치한 얇은 연골층입니다. 이 연골판은 충격을 흡수하고 관절 하중을 고르게 분산시키는 핵심적인 역할을 맡습니다.

무릎에는 일반적으로 내측과 외측 두 개의 연골판이 존재하며, 일부 부위에는 혈류 공급이 이루어지기도 하지만 전체 영역에 고르게 분포되어 있지는 않습니다. 따라서 손상 위치와 범위에 따라 자연 회복 가능성이 달라집니다.

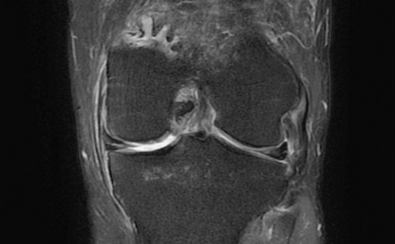
일부 환자의 경우 운동량 조절과 물리치료 등 보존적 치료로도 경과를 지켜볼 수 있지만, 혈류가 거의 없는 중심부 손상의 경우 봉합수술이나 부분 절제술 등 수술적 접근이 필요할 수도 있습니다. 즉, MRI 등 영상 검사를 통해 손상 범위와 유형을 정확히 파악하는 것이 중요합니다.

무릎연골판 손상 시 나타나는 주요 증상

무릎연골판 손상 시 나타나는 주요 증상

무릎연골판 손상의 대표 증상은 다음과 같습니다.

  • 무릎 통증 – 움직임이나 체중 부하 시 더욱 심해짐
  • 무릎 뻣뻣함 – 운동 후 굽히거나 펼 때 제한 느낌 발생
  • 부기(부종) – 관절 내부에 염증성 삼출액이 늘어남
  • 잠김 현상(Locking) – 일정 각도 이상 구부러지거나 펴지지 않음
  • 힘 빠짐(Instability) – 내리막길이나 계단에서 무릎 힘이 풀리는 느낌

갑작스러운 통증 혹은 활동 이후 관절 가동 범위가 줄었다면 반드시 정형외과 진단을 받으셔야 합니다. 단순 근육통으로 오인하고 방치하면 연골 손상이 심화될 수 있습니다.

연골 손상을 유발하는 주요 요인들

연골 손상을 유발하는 주요 요인들

무릎연골판은 노화 외에도 다음과 같은 요인으로 쉽게 손상될 수 있습니다.

  • 반복적이고 과격한 운동 (조깅, 등산, 축구 등)
  • 갑작스러운 방향 전환이나 점프 착지 시 충격
  • 비만으로 인한 지속적인 체중 부하
  • 바른 스트레칭 없이 시작하는 격렬한 운동 습관

특히 무리한 체중 이동, 쪼그려 앉는 습관 등은 연골판에 압력을 집중시켜 미세손상이 누적되기 쉬운 행동입니다.

초기 관리 및 비수술 치료법

초기 관리 및 비수술 치료법

연골판 손상이 의심될 때는 바로 진단 후 통증 완화를 위한 비수술 치료를 우선 시행합니다.

약물 치료

진통제 또는 소염진통제(NSAIDs)를 통해 염증 반응을 감소시켜 통증 조절을 돕습니다.

물리치료 및 도수치료

근육 긴장을 완화하고 무릎의 안정성을 유지하도록 도와줍니다.

냉찜질 및 휴식

초기 부기 완화를 위해 냉찜질을 시행하고, 일정 기간 동안 과도한 움직임을 제한하는 것이 좋습니다.

생활습관 교정

계단 오르내리기, 달리기, 쪼그려 앉기 등 무릎에 부담을 주는 행위를 자제해야 합니다. 보존적 치료로도 증상이 지속된다면 추가 영상 검사 및 수술적 치료 여부를 검토합니다.

효과적인 수술 치료: 관절내시경 시술의 이해

1 약물 치료

연골손상이 깊거나 증상이 장기간 지속될 경우, ‘관절내시경(Arthroscopy)’을 통한 수술적 치료가 고려됩니다.

관절내시경은 카메라가 달린 가는 내시경 기구를 통해 관절 내부를 직접 확인하며 필요한 처치를 진행하는 최신 방법입니다. 개방 절개 범위가 작아 회복 기간이 짧고 흉터 발생 위험이 낮다는 장점이 있습니다.

시술 과정

  • 작은 절개를 통해 내시경 삽입
  • 화면으로 병변 부위 확인
  • 손상된 연골 절제 또는 봉합
  • 필요 시 미세천공술 또는 재생 유도 시술 병행

수술 후에는 통증 완화와 기능 회복을 위한 재활 프로그램이 필수적입니다.

재활과 회복 과정에서 주의해야 할 점

2 물리치료 및 도수치료

수술 혹은 비수술 치료 후에는 단계별 재활 프로세스를 따르는 것이 중요합니다.

  • 초기에는 무리하지 않고 가능한 범위 내에서 움직임 유지
  • 통증 감소 후 점진적인 스트레칭, 근력 강화 운동 추가
  • 물리치료와 주사치료 병행시 회복 속도 개선 가능

겨울철처럼 근육과 인대가 경직되는 시기에는 반드시 준비운동부터 시작해야 하며, 스키나 보드 같은 스포츠 활동 시 보호장비 착용은 필수입니다.

정형외과에서 알려드리는 예방법

3 냉찜질 및 휴식

무릎 건강을 지키기 위한 예방 습관은 다음과 같습니다.

  • 꾸준한 스트레칭 및 근력 강화 운동 수행
  • 갑작스러운 방향 전환이나 점프 회피
  • 체중 관리로 하중 부담 최소화
  • 장시간 쪼그려 앉는 자세 피하기

정형외과 전문의가 강조하는 바와 같이, 평소 작은 통증도 관찰이 필요합니다. 특히 운동 후 통증이나 붓기가 사라지지 않을 때는 오산 지역 내 정형외과를 방문하여 정확한 검사를 받으시길 권장드립니다.

마무리: 작은 신호라도 놓치지 마시기 바랍니다

4 생활습관 교정

오늘은 정형외과 동탄시티병원에서 무릎연골판손상의 증상과 치료법에 대해 알려드렸습니다. 우리 몸속에서 눈에 보이지 않는 관절·연골은 일상생활을 지탱하는 매우 중요한 구조물입니다.

갑작스런 통증이나 움직임 제한이 느껴진다면 단순 피로나 나이 탓으로 넘기지 말고 조기에 전문 진료를 받아보시기 바랍니다. 빠른 진단과 맞춤형 치료가 장기적인 회복력과 삶의 질 향상의 첫걸음이 됩니다.

자주하는 질문

갑작스럽게 무릎 통증이 생겼는데, 단순 근육통인지 연골판 손상인지 어떻게 구분하나요?
단순 근육통은 보통 휴식 후 통증이 완화되지만, 연골판 손상의 경우 통증이 지속되거나 무릎이 뻣뻣하고, 구부리거나 펼 때 ‘딱’ 소리가 나며 걸리는 느낌이 동반됩니다. 또한 부기나 잠김(locking) 증상이 있다면 단순 근육통이 아니라 연골 손상 가능성이 높습니다. 이럴 때는 반드시 정형외과 진단과 MRI 검사를 통해 정확한 확인이 필요합니다.
무릎연골판 손상이 있을 때 꼭 수술을 해야 하나요?
모든 연골판 손상이 수술로 이어지는 것은 아닙니다. 손상 부위가 혈류가 있는 외측이라면 약물치료, 물리치료, 냉찜질, 생활습관 교정 등 보존적 치료로 회복될 수 있습니다. 그러나 손상 범위가 크거나 혈류 공급이 어려운 부위라면 관절내시경 시술 등 수술적 치료가 필요할 수 있습니다. 정확한 판단을 위해 MRI 검사로 손상 정도를 파악하는 것이 중요합니다.
무릎연골판 손상을 예방하려면 평소 어떤 습관을 가지면 좋을까요?
기본적으로 체중 관리하지 근력 강화 운동이 중요합니다. 평소 꾸준한 스트레칭, 쪼그려 앉기 자제, 계단 이용 시 무릎 보호, 그리고 갑작스러운 방향 전환이나 점프 동작을 피하는 것이 도움이 됩니다. 또한 운동 전에는 반드시 충분한 준비운동을 하고, 통증이 느껴지면 즉시 활동을 중단하여 추가 손상을 예방해야 합니다.
위로 스크롤